Diaphragmatic Hernia

Diaphragmatic Hernia

A muscle barrier in the form of a dome that separates the chest and abdominal compartments is the diaphragm. It divides your stomach, intestines, spleen, and liver from your heart and lungs.

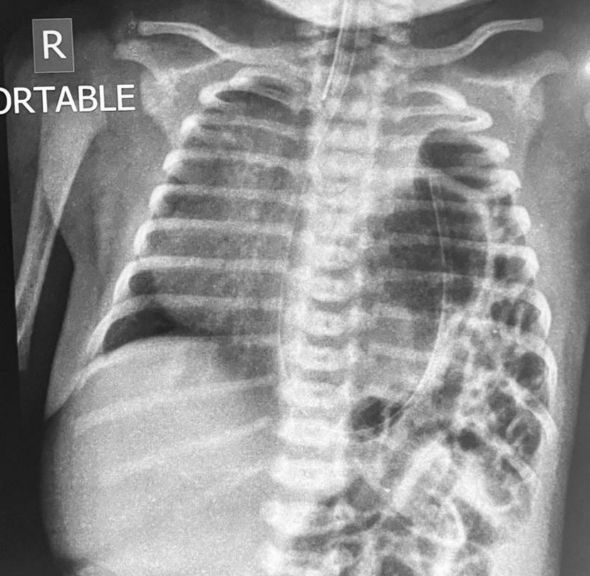
When one or more of your abdominal organs protrude into your chest through a weakness (opening) in the diaphragm, this condition is known as a diaphragmatic hernia. Birth defects of this nature might also develop later in life. It's always a medical emergency that has to be fixed quickly with surgery.

Every hernia is brought on by pressure together with a weakness or opening in the muscle or tissue in your abdomen. Muscle weakness can be inherited, however it usually develops later in life. The most typical reasons for muscular tremor include

Symptoms:- The size, underlying cause, and affected organs of a diaphragmatic hernia can all affect how severe the symptoms are.

What are the causes of a diaphragmatic hernia?

A congenital diaphragmatic hernia (CDH) results from the diaphragm's improper development when the foetus is developing. One or more of the foetus' abdominal organs might migrate into the chest and take up residence where the lungs should be due to a malformation in the diaphragm. The lungs cannot adequately grow as a result. Most frequently, this just affects one lung.

The most common cause of an acquired diaphragmatic hernia (ADH) is a piercing or violent injury. The majority of blunt injuries are the result of falls and traffic accidents. Stabbing and shooting wounds frequently result in penetrating damage. Your diaphragm may unintentionally suffer harm as a result of abdominal or chest surgery. Rarely, a diaphragmatic hernia may develop for no apparent reason and go unnoticed for some time until it gets serious enough to present with symptoms.